Your basket is empty
Product successfully added to basket!



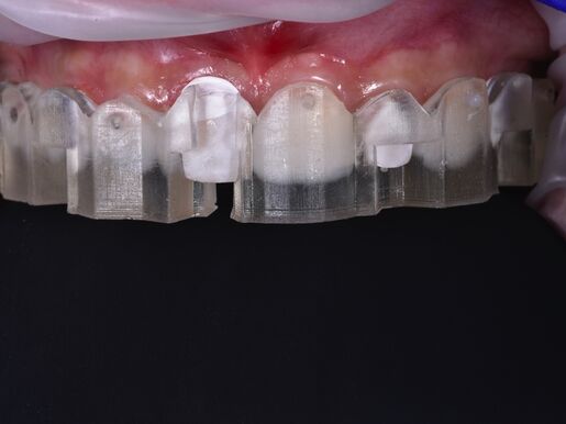
The DSD Direct Pressed product allows you to deliver the direct pressed composite technique. This Design option includes the design of the initial and final situation models, which are created based on the DSD Ideal Design. In addition, we will design a set of guides for inserting the composite in the mouth, a repair guide, and a guide to help in choosing the color will also be sent. The set also includes a dispenser to dose the exact amount of resin needed on each tooth.
This product is ideal for when you want to deliver a conservative treatment option, delivering traditional composite restorations totally guided by our ideal design , which is more cost-effective than porcelain restorations and more resistant than the injectable solution. It is delivered over the existing natural dentition and is non-invasive.
03 business days (DSD Clinics) / 05 business days (DSD Members)
This is a digital product, delivered in STL format.
The .STL files for the DSD Direct stent design (for Upper OR Lower arch), and for the set of guides and dispenser, that can be used for manufacture, either by DSD Lab or your local lab.
Yes. For us to start the DSD Direct Pressed design, you'll need to have added to the case a main design product: either DSD Upper & Lower, DSD Upper, DSD Lower, DSD Ortho Planning + TPS or DSD Interdisciplinary.